美国约翰斯·霍普金斯大学医学院的科学家宣布在工程化免疫细胞疗法领域取得一项重要进展。他们开发出一种新型可生物降解纳米颗粒,能在体内直接“教导”并重编程免疫T细胞,使其获得识别并清除致病细胞的能力。这项研究为治疗癌症及自身免疫性疾病(如系统性红斑狼疮)提供了新策略。相关论文发表在最新一期《科学进展》杂志上。
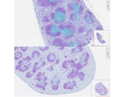
上图:未治疗小鼠脾脏中的蓝色染色B细胞。下图:用纳米颗粒处理小鼠脾脏中蓝色B细胞的减少。
图片来源:约翰斯·霍普金斯大学医学院
目前,CAR-T细胞疗法已在治疗多种血液癌症中展现出显著成效。该疗法需要从患者体内提取T细胞,在实验室进行基因改造,装上能够靶向癌细胞的“嵌合抗原受体”,再将改造后的细胞回输至患者体内。然而,这种个性化疗法过程繁琐、耗时漫长且成本极高,限制了其更广泛的应用。
为了突破这一瓶颈,团队转向了一种更为便捷的思路:开发一种能直接在患者体内对T细胞进行“再教育”的纳米颗粒。这种新型纳米颗粒由可生物降解的聚合物材料构成。其设计巧妙之处在于表面修饰了两种关键抗体分子——抗CD3和抗CD28。这些抗体能像“导航仪”一样,引导纳米颗粒精准找到循环系统中的T细胞并与之结合,进而激活T细胞。纳米颗粒内部则装载了mRNA,这种遗传物质携带着指导T细胞表面表达特定受体的编码指令,使被激活的T细胞能够识别并攻击那些导致疾病的B细胞。在红斑狼疮和某些血癌中,B细胞是关键的致病源头。
该设计极为简化,仅包含3个核心组件,因此在未来的规模化生产和临床方面可能更具优势。动物实验中,纳米颗粒展现了强大的效力:将单剂纳米颗粒注射到健康小鼠体内24小时后,其循环血液中约95%的靶向B细胞被清除,脾脏中也有约一半的B细胞被破坏。
团队接下来的目标是继续优化纳米颗粒的设计,使其能更精准地靶向病变的B细胞,并能精细调节对T细胞的刺激强度,以期在增强疗效的同时控制潜在副作用。
(来源:科技日报 记者:张梦然)

发表评论 取消回复